home » COX2 »  COXDB · 

Terms: » Organ-Systeme » Bildgebende Verfahren

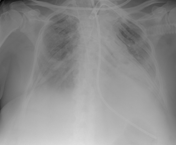
Series: 01022001
1. Series: 01022001
Was prädisponiert diesen Patienten für entzündliche Lungenkrankheiten?
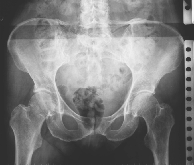
Series: 09012001
2. Series: 09012001
63 jaehrige Frau nach Sturz auf die rechte Huefte. Fraktur?




 
Seitenanfang