Atopische Dermatitis und Husten:
Anamnese, weiterführende Diagnostik und Therapie
Kursbeschreibung
Lernziel
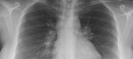
Anamnese, Klinik, logische Schritte zur Diagnose, Bildanalyse, Therapie.
Erforderliche Zeit
15 Minuten für 9 Fragen.
Autoren und Helfer
Gleiber W, Wagner T, Harth M, Jacobi V
Kurs ID (VNR)
4
Version
1
Für wen ist dieser Kurs?
Internisten, Pneumologen, Radiologen
Sprache
deutsch
Kursdauer
20 Minuten
Was dieser Kurs von Ihnen verlangt
Der Husten führt zur diagnostischen Abklärung der Lunge. Diagnostisch öffnen sich damit neue Fenster. Der behandelnde Arzt entscheidet, welche Schritte zur eindeutigen Diagnose führen.