Autor: Marc Harth , 01.07.2005
Online Lernen: Analyse, Exploration und Evaluation in einem Guss.
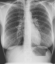
Gefäß-Variante: Abgang der Arteria subclavia dextra aus dem Aortenbogen
Vorgetragen von: Marc Harth
Kurzinfo:
Abgang der Arteria subclavia dextra aus dem Aortenbogen.
Verlauf dorsal des Oesophagus nach rechts kranial.
Dysphagie durch Einengung des Oesophagus.
Skill Level: schwierig
Lernziel: Interpretation der Schnittbildanatomie bei anatomischen Gefaessvarianten im Mediastinum
Keywords:
Dysphagie, Arteria lusoria
Weitere Materialien:
Beckenskelett nach Duokopfprothese
Vorgetragen von: Marc Harth
Kurzinfo:
Beckenuebersichtsaufnahme. Hueftprothese rechts. Eingebaut ist ein indisches Modell einer Duokopfprothese. Analyse der anatomischen Strukturen auf der Roentgenuebersichtsaufnahme des Beckens.
Skill Level: einfach
Lernziel: Anatomie des Beckens in der Beckenuebersichtsaufnahme
Keywords:
Beckenskelett, Duokopfprothese
Weitere Materialien:
Sarkoidose im der konventionellen Thoraxaufnahme und im CT
Vorgetragen von: Marc Harth
Kurzinfo:
Sarkoidose mit vergroesserten Lymphknoten bihilaer.
Skill Level: einfach
Lernziel: Anatomie des Thorax im konventionellen Roentgenbild und im CT
Keywords:
Thorax, bihilaere Lymphadenopathie, pulmonale Rundherde, Sarkoidose
Weitere Materialien:
Arterio Venoese Malformation in der konventionellen Thoraxuebersichtsaufnahme und im CT
Vorgetragen von: Marc Harth
Kurzinfo:
Arterio Venoese Malformation.
Skill Level: schwierig
Lernziel: Anatomie des Thorax im konventionellen Roentgenbild und im CT.
Subtile pahologische Veraenderungen im konventionellen Thoraxbild.
Keywords:
Thorax, Arterio Venoese Malformation
Weitere Materialien:
Intrazerebrale Verkalkungen
Vorgetragen von: Marc Harth
Kurzinfo:
Skill Level: einfach
Lernziel: Anatomie des Schaedels im CT.
Lokalisationen der pathologisch verkalkten Strukturen intrazerebral.
Keywords:
Intrazerebrale Verkalkungen, Morbus Fahr, HPT, CO Vergiftung
Weitere Materialien:
Dysgenetische Zystenniere Typ II nach Osathanondh und Potter
Vorgetragen von: Marc Harth
Kurzinfo:
Skill Level: schwierig
Lernziel: Anatomie des Retroperitoneums im MRT.
Lokalisationen der Pathologien in verschiedenen Schnittebenen.
Keywords:
Polyzystische Niere, Wilms-Tumor, Neuroblastom, Zystisches Nephrom
Weitere Materialien: